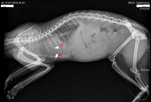
Střelná poranění u koček
Na zde vložených fotografiích je prezentováno několik rentgenových snímků letošních pacientů,u kterých bylo náhodně diagnostikováno střelné poranění,třeba i několik let staré.Co to asi naznačuje o našem celospolečenském vztahu ke zvířatům posuďte sami.



